Imate vprašanje? Pokličite nas!
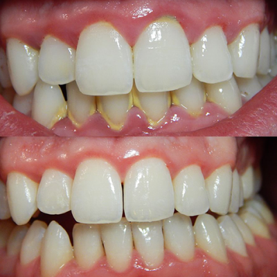
Odstranjevanje zobnih oblog
Kljub vestnemu in rednemu čiščenju zob, lahko na zobeh in v medzobnih prostorih ostanejo določena mesta, ki jih sami s ščetkami in nitko ne moremo doseči in temeljito očistiti, zato se na teh mestih začnejo nabirati mehke in trde zobne obloge…
Kirurgija in implantologija
Ekstrakcije – puljenje zob Kirurške ekstrakcije zob Operacijski izklesi modrostnih zob Apikotomije z MTA retrogradno polnitvijo Vstavitev implantatov Dvig sinusnega dna (sinus lift) pred vstavitvijo implantata. Ekstrakcije – puljenje zob, kirurške ekstrakcije zob, operacijski izklesi modrostnih zob, apikotomije z MTA retrogradno polnitvijo, vstavitev implantatov, dvig sinusnega dna (sinus lift) pred vstavitvijo implantata.
Estetsko zobozdravstvo
Bele zalivke Beljenje zob Zobne luska (veneers) Polno porcelanske prevleke (emax, Zr oksid keramika)
Ortodontija
ClearSmile Aligner je idealna rešitev za odrasle paciente z blagimi nepravilnostmi sprednjih zob, ki želijo doseči idealen nasmeh brez klasičnih fiksnih aparatov in pritrjevanja žičnih elementov na svoje zobe.
Protetika
S protetičnimi izdelki nadomeščamo en ali več izgubljenih zob in tako zapiramo vrzeli v zobnem loku. Protetične izdelke delimo na snemnoprotetične izdelke, ki jih lahko pacient sam snema in ponovno vstavlja, ter na fiksnoprotetične izdelke, katere zobozdravnik trajno pričvrsti na svoje mesto in se jih ne snema.
Zdravljenje ustnih bolezni in parodontologija
Parodontalna bolezen je bolezen obzobnih tkiv, ki se razvije iz dolgotrajnega vnetja dlesni (gingivitisa) Sprva se začne kot vnetje dlesni, nato pa sčasoma, brez ustrezne terapije, napreduje na okolno kostnino, kar povzroči popolno izgubo obzobne kosti in posledično izpad zob.

DR. DENT. MED.
Tomaž Čibej

DR. DENT. MED.
Maša Jenčič

ASISTENTKA
Nina Orel

ZOBNA HIGIENIČARKA
Ana Snežka Vujasin
Pustite nam vaše kontaktne podatke in vzpostavili bomo stik z vami v najkrajšem možnem času.






